
试剂
已认证
试剂/ELISA 试剂盒
已认证
试剂/抗体
已认证
试剂
已认证
ELISA 试剂盒/试剂/耗材
已认证
抗体
已认证
试剂
已认证
抗体/蛋白质/抗原/多肽/试剂
已认证
分子生物学
已认证
抗体/试剂
已认证
试剂
已认证
抗体/ELISA 试剂盒/试剂
已认证
试剂
已认证
试剂
已认证
抗体
已认证
抗体/蛋白质/抗原/多肽
已认证
试剂
已认证
试剂
已认证
抗体/试剂
已认证
试剂
已认证
抗体
已认证
抗体/试剂
已认证
抗体/蛋白质/抗原/多肽
已认证
ELISA 试剂盒
已认证
ELISA 试剂盒
已认证
抗体
已认证
试剂
已认证
ELISA 试剂盒/试剂
已认证
抗体/试剂
已认证
抗体
已认证
蛋白质/抗原/多肽/试剂
已认证
试剂
已认证
试剂
已认证
试剂
已认证
化学试剂
已认证
RNAi技术/蛋白质/抗原/多肽/实验室仪器 / 设备/抗体/ELISA 试剂盒
已认证
试剂
已认证
化学试剂
已认证
试剂
已认证
试剂/耗材
已认证
试剂
已认证
试剂
已认证
试剂
已认证
试剂
已认证
试剂/抗体
已认证
技术服务
已认证
技术服务
已认证
试剂
已认证
抗体
已认证
试剂
已认证
抗体/试剂
已认证
实验室仪器 / 设备/抗体/免疫学
已认证
试剂
已认证
试剂
已认证
试剂
已认证
实验室仪器 / 设备/试剂
已认证
试剂
已认证
蛋白质相关
已认证
试剂/技术服务
已认证
试剂
已认证
ELISA 试剂盒
已认证
酶
已认证
试剂
已认证
实验室仪器 / 设备
已认证
抗体/ELISA 试剂盒/试剂/技术服务
已认证
抗体
已认证
试剂
已认证
试剂
已认证
实验室仪器 / 设备/试剂
已认证
抗体/ELISA 试剂盒/试剂
已认证
试剂
已认证
试剂
已认证
试剂
已认证
抗体/试剂
已认证
试剂
已认证
试剂
已认证
试剂
已认证
抗体/试剂
已认证
试剂
已认证
技术服务
已认证
试剂
已认证
试剂
已认证
抗体/ELISA 试剂盒/技术服务
已认证
抗体/试剂/耗材
已认证
细胞库 / 细胞培养
已认证
化学试剂
已认证
细胞库 / 细胞培养
已认证
抗体/分子生物学
已认证
蛋白质/抗原/多肽
已认证
试剂
已认证
试剂
已认证
酶/试剂
已认证
抗体/ELISA 试剂盒
已认证
细胞库 / 细胞培养
已认证
抗体/ELISA 试剂盒
已认证
试剂
已认证
ELISA 试剂盒/试剂
已认证
抗体/ELISA 试剂盒/试剂/细胞库 / 细胞培养
已认证
试剂
已认证
试剂
已认证
试剂
已认证
免疫检测
已认证
试剂
已认证
抗体
已认证
试剂
已认证
试剂/ELISA 试剂盒
已认证
试剂/抗体
已认证
试剂
已认证
ELISA 试剂盒/试剂/耗材
已认证
抗体
已认证
试剂
已认证
抗体/蛋白质/抗原/多肽/试剂
已认证公司新闻/正文
960 人阅读发布时间:2018-09-10 16:42

细胞运动和定位研究需要专门的探针,这些探针必须对活细胞无毒。活细胞示踪试剂,为监测细胞运动,定位,增殖,迁移,趋化性和侵袭提供了便利。
艾美捷科技为您推荐,高品质的活细胞示踪试剂盒(可固定&绿色荧光):KTA1002
| 产品名称 | 货号 |
| Live Cell Tracking Kit (Green Fluorescence) 活细胞示踪试剂盒(绿色荧光) |
KTA1002 |
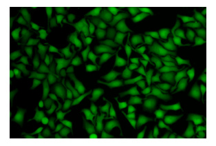
Abbkine的活细胞示踪试剂盒(绿色荧光),提供多功能和长效维持的细胞示踪染料(CellTracker Green),用于监测细胞运动,定位,增殖,迁移,趋化性和侵袭。CellTracker Green可以被动地扩散到细胞中并保持无色和非荧光,直到其乙酸酯基团被细胞内酯酶切割,产生高荧光,胺反应性的羧基荧光素琥珀酰亚胺酯。琥珀酰亚胺酯基团与细胞内胺反应,形成荧光缀合物(Ex / Em = 494 / 521nm),可长效保留,更可用醛固定剂固定。
【活细胞示踪试剂盒特点】
1、用于监测细胞运动,定位,增殖,迁移,趋化性和侵袭。
a.Cell Tracker Green探针可以在几代中很好地保留在活细胞中,并且可以显示荧光至少一周。探针会转移到子细胞,但不转移到群体中的相邻细胞。
b.适用于流式细胞仪和荧光显微镜。
2、细胞经固定后,亦观察荧光。
![]() |
| 使用Abbkine活细胞示踪试剂盒 (绿色荧光分析Hela细胞) |
Abbkine专注于免疫学和细胞学领域,致力于创新和研发各类抗体、蛋白质、分析试剂与试剂盒,以期成为生命科学研究发展、药物研发等领域的关键推动者。在这里,我们为您呈献蛋白和免疫研究用户最喜爱的产品,从免疫学基础产品,如蛋白提取定量,到免疫学实验的内参标签抗体、一抗及二抗等,以助力于您的研究事业。
或者欢迎咨询:
Abbkine中国区总代理:400-6800-868 网站:www.abbkine.com
或者当地Abbkine授权代理商。

About Abbkine Scientific Co., Ltd.
Abbkine Scientific Co., Ltd.成立于2012年。我们的使命,通过为全球科学家提供人类和动物健康研究所需的基础研究工具,以期成为研究探索的关键推动者。我们将通过明确的核心战略和促进诚信、开放、合作、创新和为客户服务的企业文化,为全球生命科学研究者提供买得起的高品质产品,实现我们的使命。
在线沟通
我的询价






