公司新闻/正文
2316 人阅读发布时间:2019-01-07 16:14
细胞凋亡(apoptosis)是一种基本生物学现象,指为维持内环境稳定,由基因控制的细胞自主的有序的死亡,在多细胞生物去除不需要的或异常的细胞中起着必要的作用。
线粒体在细胞凋亡的过程中起着枢纽作用,其中Bcl-2家族蛋白更是起到了关键性作用的一类蛋白质。在线粒体上,Bcl 2家族蛋白通过与其他凋亡蛋白的协同作用 ,调控线粒体结构与功能的稳定性 ,发挥着细胞凋亡“主开关”的作用。
Bcl-2家族的20余种蛋白质,根据它们在细胞凋亡中的作用可分为两类:一类是抗凋亡蛋白,包括Bcl-2、Bcl-xL、Bcl-w、Mcl-1、A1、Boo和Ced-9等十余个成员;另一类是促凋亡蛋白,包括Bax、Bak、Bok、Bcl-xS、Bid Bad和Egl-1等十余个成员。
细胞凋亡调控因子Bax(BCL2 Associated X Protein),也成为bcl-2-like protein 4,属于Bcl-2家族蛋白的中促凋亡的一员。在细胞凋亡的两个进化保守的信号转导途径中,Bcl-2家族成员的构成比例是凋亡调控的关键因素,尤其是Bcl-2/Bax比率是启动细胞凋亡的“分子开关”。
Bax和Bcl-2通过形成同源或异源二聚体来调节细胞凋亡:当Bax形成同源二聚体时诱导细胞凋亡;Bax与bcl-2形成异源二聚体时则抑制细胞凋亡。当某细胞系的所有细胞内异源二聚体(Bcl-XL/Bax和Bcl2/Bax)的含量≥50%时,细胞耐受凋亡;而当细胞内Bax同源二聚体〉80%时,且在适当信号诱导下则细胞出现凋亡。

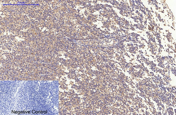
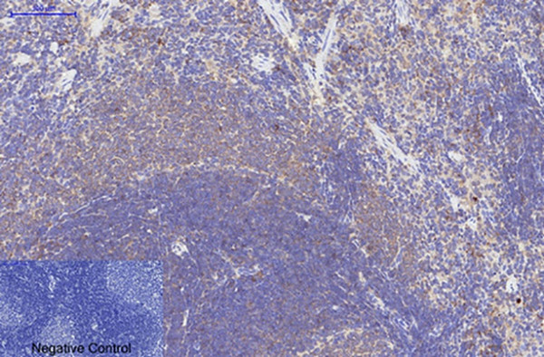
艾美捷科技为您推荐Abbkine的皇冠抗体:细胞凋亡调控因子Bax抗体,适用于人,小鼠,大鼠,鸡的WB, IHC, IF实验。
| 产品名称及描述 | 货号 | 产品说明 |
| Bax Mouse Monoclonal Antibody (6F11) Bax小鼠单克隆抗体(6F11) |
ABM40273 | 详情 |
Bax抗体用结果说话:
【1】IHC:石蜡包埋的人扁桃体组织,1:200稀释。

【2】IHC:石蜡包埋的大鼠脾脏组织,1:200稀释。

【3】WB:鸡细胞裂解液,1:1000稀释。

#欢迎联系各地区的Abbkine授权代理商:http://www.abbkine.cn/global-distributors/
Abbkine服务于全球蛋白组学和细胞学研究领域的科学家,致力于创新和研发各类蛋白组学和细胞学相关的科研试剂,以期成为生命科学研究发展、药物研发等领域的关键推动者。蛋白组学产品涵盖从样本制备(蛋白提取,纯化,偶联),蛋白定量到用于蛋白检测的抗体和试剂盒;细胞学产品包含用于细胞培养的细胞因子,细胞状态检测、染色,细胞器提取,细胞代谢及细胞病理等试剂(盒)。Abbkine依靠产品组合以及独特的市场营销支持为主要的市场策略和产品创新模式,只为助力您的研究事业!
About Abbkine Scientific Co., Ltd.
Abbkine Scientific Co., Ltd由一群志同道合的科学家和营销专家,2012年成立于美国加利福尼亚州。通过品牌收购和资源整合,Abbkine将其总部迁至中国,以满足亚太地区日益增长的需求。Abbkine源于美国、中国智造、服务全球,结合了美国技术和中国制造两方面的巨大优势,致力于为全球蛋白组学和细胞学研究领域的科学家提供创新的、高品质的、买得起的实验试剂盒、蛋白质、抗体以及其它研究工具。
