公司新闻/正文
1572 人阅读发布时间:2020-06-11 11:13
Power Styramide™信号放大(PSA™)是一种新颖的酶检测信号放大方法,用于检测细胞和组织中的低丰度靶标。通过将iFluor™染料的卓越亮度和光稳定性与多HRP介导的PSA™成像相结合,可产生明亮的荧光信号,其准确性和灵敏度明显高于传统的免疫组织化学,免疫细胞化学和原位杂交技术。
Power Styramide™信号放大(PSA)
与酪酰胺信号放大(TSA)相似,PSA利用辣根过氧化物酶(HRP)的催化活性原位共价沉积荧光团。 PSA自由基具有比酪胺自由基高得多的反应性,使得PSA系统比传统的TSA试剂更快,更稳健和灵敏。与酪胺试剂相比,Styramide 缀合物具有以更高效率标记靶标的能力,因此产生显着更高的荧光信号。PSA™成像技术可以轻松应用于任何检测过程中需要加入HRP的应用中,例如IHC,ICC,IF, 原位杂交和ELISA。

图1.PSA™检测方法检测原理示意图。使用常规的检测方法,用未标记的一抗和HRP-二抗缀和物检测细胞或组织样品。HRP催化标记的Styramide™转化为高活性的Styramide™自由基,这些自由基与酶位点上或附近的酪氨酸残基共价结合。
PSA™成像系统的优势:
每个HRP标签的多个Styramide™底物的快速催化和共价沉积所产生的Power Styramide™信号放大转化成了许多实际优势,包括简单,灵敏度和特异性增强以及与其他技术的兼容性。Styramide™基团的较高反应活性,使其在HRP-靶标相互作用位点更牢固,更快速地标记,从而比TSA产生更强的信号和更好的空间分辨率。
优越的检测灵敏度
将PSA™成像应用于免疫染色实验中,可以增加一抗稀释度,而不会使测定灵敏度降低。此外,增加一抗稀释度会降低非特异性背景信号,并克服固定方法不当或目标表达水平低引起的免疫标记不足。

图3. Power Styramide™信号放大(PSA™)套件的灵敏度。固定,渗透并用不同浓度的兔抗微管蛋白一抗标记HeLa细胞。厂商建议的稀释度为1:500或2ug / ml。然后,在我们的iFluor™488 PSA™成像试剂盒中用山羊抗兔IgG,AlexaFluor®488标记的酪酰胺或AlexaFluor®488标记的山羊抗兔IgG的试剂对细胞进行染色。在相同条件下(使用FITC滤光片组并在相同的曝光时间下进行分析)从每种处理中捕获细胞图像。测量了相对荧光信号强度,并比较了不同检测方法之间的荧光强度。
多种PSA™多重染色
PSA™系统经过设计,可与其他荧光发生器,细胞和组织染色技术以及其他PSA™成像套件兼容,从而可以同时可视化多个目标。与TSA和荧光二抗相比,PSA™的检测阈值较低,还可以检测在同一宿主物种中产生的,但信号之间无明显串扰的两个靶标。PSA™成像兼容:
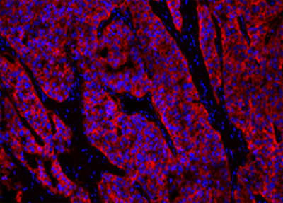
图4.使用iFluor™PSA™成像试剂盒对甲醛固定,石蜡包埋的人肺腺癌依次进行免疫染色。用兔抗EpCam抗体和带有山羊抗兔IgG(目录号45205)的iFluor™488 PSA™成像试剂盒标记EpCam,然后洗涤。用小鼠抗Pan Keratin抗体标记Pan-Keratin,iFluor™555 PSA™成像试剂盒带有山羊抗小鼠IgG(目录号45270)标记。细胞核用DAPI(目录号17507)标记。在共聚焦显微镜上采集图像。
灵活的工作流程:与IHC,ICC,ISH和流式细胞仪兼容:
PSA™成像技术可适用于能在其检测方案中添加HRP的任何应用,并且与免疫学应用中常用的样品类型和荧光成像平台兼容。与传统的IHC,ICC,ISH和FC应用程序结合使用时,PSA™成像可显著提高检测灵敏度,而不会降低图像分辨率或增加背景信号。

HL-60细胞的CD45表面受体染色。Hl-60细胞用4%甲醛固定,通透并用0.2 µg / mL抗CD45一抗标记。然后将细胞用iFluor™647 Styramide™染色,并使用Cy5滤光片拍摄的荧光图像。

使用生物素化的PNA探针通过原位杂交对着丝粒进行染色。使用标准方案将Jurkat细胞固定并透化,用链霉亲和素HRP缀合物检测每个染色体的着丝粒,并用iFluor 488苯乙希酰胺试剂可视化,用DAPI染色细胞核。

3. 流式细胞仪
使用iF488标记的山羊抗兔IgG方法,酪酰胺方法或苯乙希酰胺方法对Jurkat细胞中的pAKT进行流式细胞分析。苯乙希酰胺扩增方法的信号强度比山羊抗兔IgG-iFluor™488直接染色高10倍,比Alexa Fluor 488酪酰胺染料染色高5倍。

PSA™成像工作流程:
PSA™成像利用辣根过氧化物酶(HRP)的催化活性在原位生成目标蛋白或核酸序列的高密度标记。与IHC,ICC和ISH程序的常规工作流程相似,PSA™成像易于执行,包括几个简单的过程。在此工作流程中,将荧光二抗替换为多HRP标记二抗,唯一的附加步骤是与标记的Styramide™一起孵育。
1.固定,透化和封闭细胞或组织样品。用未标记的一抗,生物素化一抗或生物素化核酸探针孵育样品。
2.加入HRP标记二抗或HRP-链霉亲和素偶联物。
3.添加iFluor™染料Styramide™工作溶液,进行HRP催化的Styramide™沉积。
4.装入样品并检测信号。

图5. Power Styramide™信号放大(PSA™)的工作流程。通过类似于常规ICC和IHC方法的工作流程,PSA™试剂盒和Styramide™试剂可以通过几个简单的步骤就可以对所需目标物进行灵敏检测。
Power Styramide™信号放大相关产品信息汇总:
| Styramide™ | 货号 | Ex (nm) | Em (nm) | 滤光片 | 消光系数 | 量子产率 |
| iFluor™ 350 Styramide™ | 45000 | 345 | 442 | DAPI | 20,000 | 0.95 |
| iFluor™ 488 Styramide™ | 45020 | 491 | 514 | FITC | 75,000 | 0.9 |
| iFluor™ 546 Styramide™ | 45025 | 541 | 557 | Cy3/TRITC | 100,000 | 0.67 |
| iFluor™ 555 Styramide™ | 45027 | 552 | 567 | Cy3/TRITC | 100,000 | 0.64 |
| iFluor™ 568 Styramide™ | 45030 | 568 | 587 | Cy3/TRITC | 100,000 | 0.57 |
| iFluor™ 594 Styramide™ | 45035 | 587 | 603 | Cy3/TRITC | 180,000 | 0.53 |
| iFluor™ 647 Styramide™ | 45045 | 654 | 669 | Cy5 | 250,000 | 0.25 |
| iFluor™ 680 Styramide™ | 45050 | 683 | 700 | Cy5 | 220,000 | 0.23 |
| iFluor™ 700 Styramide™ | 45055 | 690 | 713 | Cy7 | 220,000 | 0.23 |
| iFluor™ 750 Styramide™ | 45065 | 759 | 777 | Cy7 | 275,000 | 0.12 |
| iFluor™ 790 Styramide™ | 45070 | 786 | 811 | Cy7 | 250,000 | 0.13 |
看到这儿,您心动了吗?马上联系小艾吧!

艾美捷科技有限公司,通过提供完整的产品和服务体系、便利的客户关系和供应链管理,为生命科学研究工作者提供整体打包方案。我们的企业的核心价值观:“激情、敬业、学习、创新、合作、卓越”。激发我们内在的创造力,提供有竞争力的生物医学产品和服务,持续为客户创造最大价值是我们的企业使命。我们的企业愿景是成为受人尊重、世界一流的生物医学产品及服务供应商。
作为一家具有尖端的技术实力、一流的经营管理水平和完善的市场销售体系的生物高科技企业,总部位于武汉光谷国家级高新技术开发区,服务面向全国。艾美捷科技是集进口试剂、实验室耗材销售、技术服务与合约开发为一体的专业化高科技公司,为用户提供最前沿的专业资讯、完备的产品、整合的解决方案,及优质的物流服务。为了更好的服务客户,公司组建了一支经验丰富的研发团队-艾美捷生物技术中心,进入研发生产阶段,将更优质的产品推荐给国内生物领域的同仁们!
艾美捷科技与国内外优秀的生物试剂供应商保持着密切的合作关系,目前已成为众多国际知名品牌的中国总代理或一级代理,主要包括:AmyJet、AAT Bioquest、Abnova、Agrisera、Biovision、Biosensis、Cayman Chemical、Caisson Labs、Cytoskeleton、CytoNiChe、Epigentek、Equitech-Bio、Hycult Biotech、Jackson、LifeSensors、ProSpec、Norgen Biotek、Mabtech、Matreya、iRegene、StressMarq、ImmunoReagents、SouthernBiotech、Origene、US Biological、Solis BioDyne等,可以在第一时间为用户提供最前沿的专业资讯、完备的产品及物流服务。
三点:
企业使命:激发我们内在的创造力,提供有竞争力的生物医学产品和服务,持续为客户创造最大价值。
企业愿景:成为受人尊重、世界一流的生物医学产品及服务供应商。
艾美捷定位:通过提供完整的产品和服务体系、便利的客户关系和供应链,为生命科学研究工作者提供整体打包方案。
六观:
价值观:激情、敬业、学习、创新、合作、卓越。
