
试剂/抗体
已认证
试剂
已认证
ELISA 试剂盒/试剂/耗材
已认证
抗体
已认证
试剂
已认证
抗体/蛋白质/抗原/多肽/试剂
已认证
分子生物学
已认证
抗体/试剂
已认证
试剂
已认证
抗体/ELISA 试剂盒/试剂
已认证
试剂
已认证
试剂
已认证
抗体
已认证
抗体/蛋白质/抗原/多肽
已认证
试剂
已认证
试剂
已认证
抗体/试剂
已认证
试剂
已认证
抗体
已认证
抗体/试剂
已认证
抗体/蛋白质/抗原/多肽
已认证
ELISA 试剂盒
已认证
ELISA 试剂盒
已认证
抗体
已认证
试剂
已认证
ELISA 试剂盒/试剂
已认证
抗体/试剂
已认证
抗体
已认证
蛋白质/抗原/多肽/试剂
已认证
试剂
已认证
试剂
已认证
试剂
已认证
化学试剂
已认证
RNAi技术/蛋白质/抗原/多肽/实验室仪器 / 设备/抗体/ELISA 试剂盒
已认证
试剂
已认证
化学试剂
已认证
试剂
已认证
试剂/耗材
已认证
试剂
已认证
试剂
已认证
试剂
已认证
试剂
已认证
试剂/抗体
已认证
技术服务
已认证
技术服务
已认证
试剂
已认证
抗体
已认证
试剂
已认证
抗体/试剂
已认证
实验室仪器 / 设备/抗体/免疫学
已认证
试剂
已认证
试剂
已认证
试剂
已认证
实验室仪器 / 设备/试剂
已认证
试剂
已认证
蛋白质相关
已认证
试剂/技术服务
已认证
试剂
已认证
ELISA 试剂盒
已认证
酶
已认证
试剂
已认证
实验室仪器 / 设备
已认证
抗体/ELISA 试剂盒/试剂/技术服务
已认证
抗体
已认证
试剂
已认证
实验室仪器 / 设备/试剂
已认证
抗体/ELISA 试剂盒/试剂
已认证
试剂
已认证
试剂
已认证
试剂
已认证
抗体/试剂
已认证
试剂
已认证
试剂
已认证
试剂
已认证
抗体/试剂
已认证
试剂
已认证
技术服务
已认证
试剂
已认证
试剂
已认证
抗体/ELISA 试剂盒/技术服务
已认证
抗体/试剂/耗材
已认证
细胞库 / 细胞培养
已认证
化学试剂
已认证
细胞库 / 细胞培养
已认证
抗体/分子生物学
已认证
蛋白质/抗原/多肽
已认证
试剂
已认证
试剂
已认证
酶/试剂
已认证
抗体/ELISA 试剂盒
已认证
细胞库 / 细胞培养
已认证
抗体/ELISA 试剂盒
已认证
试剂
已认证
抗体/ELISA 试剂盒/试剂/细胞库 / 细胞培养
已认证
试剂
已认证
试剂
已认证
试剂
已认证
免疫检测
已认证
试剂
已认证
抗体
已认证
试剂
已认证
试剂/ELISA 试剂盒
已认证
试剂/抗体
已认证
试剂
已认证
ELISA 试剂盒/试剂/耗材
已认证
抗体
已认证
试剂
已认证
抗体/蛋白质/抗原/多肽/试剂
已认证公司新闻/正文
471 人阅读发布时间:2020-12-01 10:00
辅酶A(CoA,Coenzyme A)是体内70多种酶反应通路的辅助因子,包括糖类的分解,脂肪酸的氧化,氨基酸的分解,丙酮酸的降解,激发三羧酸循环,提供机体生命所需90%的能量,在所有生物体的许多合成和降解代谢途径中发挥重要作用。在真核生物中,CoA及其衍生物还参与膜运输和信号转导。

而COASY这是编码双功能蛋白辅酶A合成酶(辅酶A合成酶),顾名思义,这个酶是体内负责合成辅酶A的一个酶,它执行泛酸(维生素B5)生物合成CoA的最后两步。如果COASY基因出现问题,或者蛋白质表达出现异常的话,会导致生物体无法合成足够的辅酶A,从而导致生理功能的缺陷,甚至疾病,比如,神经退行性疾病伴随脑铁沉积6型。

DOI: 10.3389/fphar.2014.00099
COASY(辅酶A合成酶)的蛋白档案:
| 全称 | Coenzyme A Synthase / CoA Synthase |
| 其它名称 | DPCK,PPAT ,POV-2,NBP,DPCOAK |
| 数据库链接 | UniProtKB - Q13057 (COASY_HUMAN) |
| 表达定位 | 线粒体基质(辅酶A合成酶主要存在于线粒体基质中,可能锚定于线粒体内膜,但也存在于细胞裂解液中) |
![]() |
COASY(辅酶A合成酶)的科研与诊断原料产品推荐:
√ 蛋白质/抗原:COASY (Human) Recombinant Protein
| 货号 | 序列信息 |
| H00080347-P01 | AAH06354, 1 a.a. - 225 a.a |
| H00080347-Q01 | NP_079509, 461 a.a. - 564 a.a |
√ 抗体/验证的抗体对原料:COASY monoclonal antibody
| 货号 | 反应种属 | 应用类型 | |
| H00080347-M01 | 人 | WB, ELISA | ![]() |
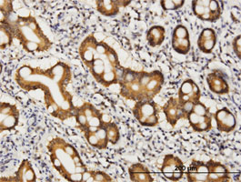
| H00080347-M05 | 人 | IHC, ELISA | ![]() |
| H00080347-AP11 | 人 | Sandwich ELISA (验证的抗体对,2支抗体) |
![]() |
................................................................................................
看到这儿,您心动了吗?马上联系小艾吧!
或者扫描下方二维码,即可联系您的企业微信专属客服哦~

作为一家具有高端的技术实力、先进的经营管理水平和完善的市场销售体系的生物高科技企业,总部位于武汉光谷高新技术开发区,服务面向全国。艾美捷科技是集进口试剂、实验室耗材销售、技术服务与合约开发为一体的专业化高科技公司,为用户提供专业的前沿资讯、完备的产品、整合的解决方案,及优质的物流服务。为了更好的服务客户,公司组建了一支经验丰富的研发团队-艾美捷生物技术中心,进入研发生产阶段,将更优质的产品推荐给国内生物领域的同仁们!
艾美捷科技与国内外优秀的生物试剂供应商优保持着密切的合作关系,目前已成为众多国际知名品牌的中国总代理或一级代理,主要包括:AmyJet、AAT Bioquest、Abnova、Agrisera、Biovision、Biosensis、Cayman Chemical、Caisson Labs、Cytoskeleton、CytoNiChe、Epigentek、Equitech-Bio、Hycult Biotech、Jackson、LifeSensors、LigaTrap、ProSpec、Norgen Biotek、Mabtech、Matreya、iRegene、StressMarq、ImmunoReagents、SouthernBiotech、Origene、US Biological、Solis BioDyne等,可以在短时间内为用户提供专业的前沿资讯、完备的产品及物流服务。
在线沟通
我的询价









