公司新闻/正文
6144 人阅读发布时间:2021-05-13 13:06
Fos基因家族由c-Fos、FOSB、FOSL1、FOSL2 这4个成员组成。这些基因编码的亮氨酸拉链蛋白可以与JUN家族的蛋白二聚,从而形成转录因子复合物AP-1。因此,c-FOS蛋白被认为是细胞增殖、分化和转化的调节因子。在某些情况下,FOS基因的表达也与凋亡细胞死亡相关。

c-FOS作为一个转录因子,其主要作用是调节细胞核中因受外界刺激影响而开启或抑制的基因。在神经科学领域,c-FOS蛋白通常被当做神经元活性的标志物,在多种肿瘤细胞中过表达。
研究靠得住,抗体第一步!作为专业的生命科学解决方案供应商,艾美捷为您推荐这个纵横Nature, Cell的超能打的:c-Fos - 226 004,来自德国(SySy)

| 产品货号 | 226 004 |
| 产品名称 | 原癌蛋白c-Fos(抗体) |
| 品牌 | Synaptic Systems中国区总代理,艾美捷科技 |
| 应用类型 | WB: 1 : 1000 (AP staining) ICC: 1 : 500 IHC: 1 : 500 up to 1 : 1000 (see remarks) IHC-P/FFPE: 1 : 1000 up to 1 : 2000 FACS: yes |
| 反应种属 | 人,小鼠,大鼠,猴,猿,牛,狗,猪 (其他物种尚未测试) |
| 特异性 | 特异性针对c-Fos蛋白 |
| 产品说明 | 100ul纯化豚鼠抗血清,为冻干粉形式。 |
| 溶解建议 | 加入100ul无菌去离子水,然后分装保存与-20℃,直到使用。 |
| 说明书下载 | 点击下载 |
高分发表文章精选:
部分结果图展示:
![]() |
![]() |
| WB:c-Fos (1:1000) | ICC:c-Fos (1:500; 红) |
![]() |
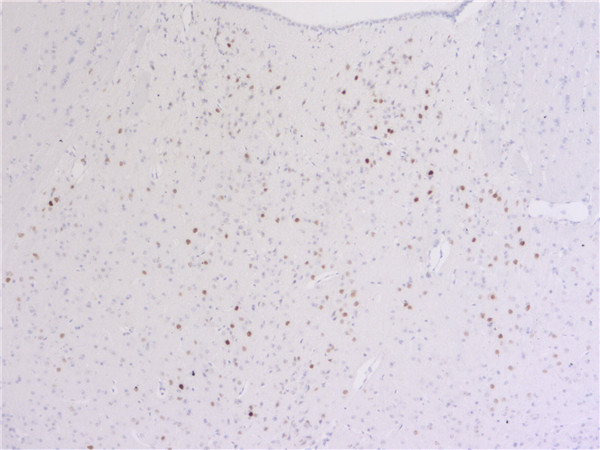
![]() |
| IHC:c-Fos (1:500; 红) | IHC-P:c-Fos (1:1000; DAB) |
运输条件
所有抗体和对照蛋白/肽以冻干粉状态(真空冷冻干燥)运输,室温下可以在数周内保持稳定和活性。
收到产品之后的操作和样品瓶的储存
无标记和生物素标记抗体以及对照蛋白在重悬前应保存在 4°C 的条件下。 在冻干状态下不要存放在冷冻柜里!低于零摄氏度会导致反应性降低。
重悬
所有抗体均由PBS冻干。用PBS溶解抗体冻干粉,请参照数据手册定量添加去离子水。大容量溶解时,先添加去离子水,然后适量的PBS和蛋白稳定剂(例如BSA)至2%的最终浓度。添加蛋白稳定剂时请注意,部分抗体已经含有血清白蛋白。制作重悬溶液时请小心打开盖子。添加去离子水后,轻微晃动溶液。为使液体聚集在样品瓶底部,可以使用离心机离心。操作离心机时,可以在50ml离心管中样品瓶下面铺垫废纸,以方便离心后取出。
为抑制细菌生长,可以添加少量的叠氮化物或硫柳汞作为防腐剂。该操作特别适用于分量包装在4°C条件下保存。可以向不带标记的一抗添加甘油,以避免冻融循环。
................................................................................................
看到这儿,您心动了吗?马上联系小艾吧!
或者扫描下方二维码,即可联系您的专属客服哦~

作为一家具有高端的技术实力、先进的经营管理水平和完善的市场销售体系的生物高科技企业,总部位于武汉光谷高新技术开发区,服务面向全国。艾美捷科技是集进口试剂、实验室耗材销售、技术服务与合约开发为一体的专业化高科技公司,为用户提供专业的前沿资讯、完备的产品、整合的解决方案,及优质的物流服务。
艾美捷科技与国内外优秀的生物试剂供应商优保持着密切的合作关系,目前已成为众多国际知名品牌的中国总代理或一级代理,主要包括:AmyJet、AAT Bioquest、Abbexa、Abnova、Agrisera、Anogen、Biosensis、Biovision、BioVendor、Caisson Labs、Cell Biolabs、Cytoskeleton、Demeditec、Duchefa、Epigentek、Equitech-Bio、EXBio、Fitzgerald、GeneCopoeia、Hycult Biotech、ImmunoReagents、ImmunoStep、Jackson、LifeSensors、LigaTrap、Lumiprobe、Mabtech、Matreya、Norgen Biotek、Origene、ProImmune、ProSpec、ScyTek、Solis BioDyne、SouthernBiotech、StressMarq、SySy、US Biological、TRC等,可以在短时间内为用户提供专业的前沿资讯、完备的产品及物流服务。
