
试剂
已认证
试剂/ELISA 试剂盒
已认证
试剂/抗体
已认证
试剂
已认证
ELISA 试剂盒/试剂/耗材
已认证
抗体
已认证
试剂
已认证
抗体/蛋白质/抗原/多肽/试剂
已认证
分子生物学
已认证
抗体/试剂
已认证
试剂
已认证
抗体/ELISA 试剂盒/试剂
已认证
试剂
已认证
试剂
已认证
抗体
已认证
抗体/蛋白质/抗原/多肽
已认证
试剂
已认证
试剂
已认证
抗体/试剂
已认证
试剂
已认证
抗体
已认证
抗体/试剂
已认证
抗体/蛋白质/抗原/多肽
已认证
ELISA 试剂盒
已认证
ELISA 试剂盒
已认证
抗体
已认证
试剂
已认证
ELISA 试剂盒/试剂
已认证
抗体/试剂
已认证
抗体
已认证
蛋白质/抗原/多肽/试剂
已认证
试剂
已认证
试剂
已认证
试剂
已认证
化学试剂
已认证
RNAi技术/蛋白质/抗原/多肽/实验室仪器 / 设备/抗体/ELISA 试剂盒
已认证
试剂
已认证
化学试剂
已认证
试剂
已认证
试剂/耗材
已认证
试剂
已认证
试剂
已认证
试剂
已认证
试剂
已认证
试剂/抗体
已认证
技术服务
已认证
技术服务
已认证
试剂
已认证
抗体
已认证
试剂
已认证
抗体/试剂
已认证
实验室仪器 / 设备/抗体/免疫学
已认证
试剂
已认证
试剂
已认证
试剂
已认证
实验室仪器 / 设备/试剂
已认证
试剂
已认证
蛋白质相关
已认证
试剂/技术服务
已认证
试剂
已认证
ELISA 试剂盒
已认证
酶
已认证
试剂
已认证
实验室仪器 / 设备
已认证
抗体/ELISA 试剂盒/试剂/技术服务
已认证
抗体
已认证
试剂
已认证
试剂
已认证
实验室仪器 / 设备/试剂
已认证
抗体/ELISA 试剂盒/试剂
已认证
试剂
已认证
试剂
已认证
试剂
已认证
抗体/试剂
已认证
试剂
已认证
试剂
已认证
试剂
已认证
抗体/试剂
已认证
试剂
已认证
技术服务
已认证
试剂
已认证
试剂
已认证
抗体/ELISA 试剂盒/技术服务
已认证
抗体/试剂/耗材
已认证
细胞库 / 细胞培养
已认证
化学试剂
已认证
细胞库 / 细胞培养
已认证
抗体/分子生物学
已认证
蛋白质/抗原/多肽
已认证
试剂
已认证
试剂
已认证
酶/试剂
已认证
抗体/ELISA 试剂盒
已认证
细胞库 / 细胞培养
已认证
抗体/ELISA 试剂盒
已认证
试剂
已认证
ELISA 试剂盒/试剂
已认证
抗体/ELISA 试剂盒/试剂/细胞库 / 细胞培养
已认证
试剂
已认证
试剂
已认证
试剂
已认证
免疫检测
已认证
试剂
已认证
抗体
已认证
试剂
已认证
试剂/ELISA 试剂盒
已认证
试剂/抗体
已认证
试剂
已认证
ELISA 试剂盒/试剂/耗材
已认证
抗体
已认证
试剂
已认证
抗体/蛋白质/抗原/多肽/试剂
已认证公司新闻/正文
4783 人阅读发布时间:2021-09-07 11:25
在病理检验中,脂类染色法最常用于证明脂肪变性,脂肪栓子以及肿瘤的鉴别。脂滴(Lipid Droplet)是中性脂(主要有脂酰甘油和酯化胆固醇)的主要贮存场所,是脂肪细胞的主要成分,占据脂肪细胞的大部分空间。正常情况下,除脂肪细胞以外的其他细胞内一般不见或仅能看到微量脂滴。但病理情况下,这些细胞中可能出现脂滴或者脂滴明显增多,通过脂肪染色能将这些脂滴清晰的显现出来。比如,心、肝、肾等实质器官发生脂肪变性,胞浆内出现大小不一的空泡,可用脂肪染色来区分是脂肪变性还是水性变性或糖原贮存等。

目前脂类染色使用最广泛的染料是苏丹染料,最常用的有苏丹Ⅲ,苏丹Ⅳ,苏丹黑及油红O等,这种脂肪染色方法,实际上是苏丹染料被脂肪溶解吸附而呈现染料的颜色的过程,经研究认为组织中脂质在液态或半液态时,对苏丹染料着色效果最好,根据这一原理,适当提高温度(37℃-60℃)会对组织切片产生较好的染色效果。
用苏丹染料进行脂类染色,多用用冰冻或石蜡切片,以水溶性封固剂封固,如甘油明胶和阿拉伯糖胶等,在免疫组化研究中应用较多。
苏丹染料主要针对于组织切片的脂质染色,同时灵敏度也较低,且存在操作过程中试剂挥发过多,易形成背景沉淀,无法兼容活细胞等局限。

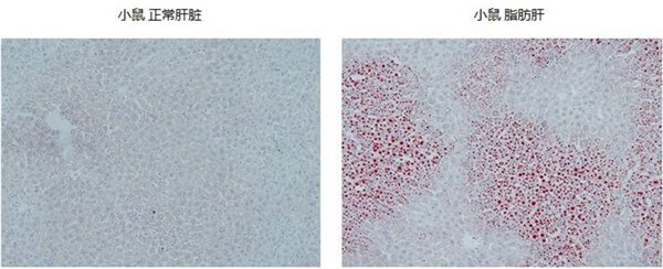
油红O染色小鼠肝脏结果
鉴于脂质化学染料有上述诸多弊端,今天给大家带来几款优秀的脂质荧光染料:
尼罗红(Nile Red)(货号:22190),尼罗红是一种亲脂性荧光染色剂,它是一类环境敏感性荧光染料,能够在富含脂质的环境中产生强烈的荧光,而在水性介质中的荧光强度极小,这种特性使得它成为了一款极重要检测细胞内脂滴的荧光指示剂,可以通过荧光显微镜和流式细胞检测结果。

Nile Red的结构式
除了广泛使用的尼罗红,今天还给大家带来了荧光染料领航者AAT Bioquest自研的升级版脂质染色工具: Nile Green(货号:22730)和Droplite Red(货号:22735), 跟尼罗红性质类似,它们也是在富含脂质的环境中具有强烈荧光的,而在水性介质中具有最小的荧光。可用荧光显微镜,流式细胞术或荧光微孔板阅读器检测细胞内脂液滴,是一类优异的活细胞脂质染料。 其中Nile Green仅染色细胞内脂液滴,具有绿色荧光,它可以与其他荧光染料一起使用,用于多重染色,弥补了尼罗红染色的缺陷。
染色结果赏析:
| 处理10天后,MPCCs中糖诱导的中性脂质积累: 引文:Long-term exposure to abnormal glucose levels alters drug metabolism pathways and insulin sensitivity in primary human hepatocytes by Davidson et al., Scientific Reports, June 2016. |
|
|
| 尼罗红染色IAA处理的褐藻(黄色是叶绿体,红色是脂滴): 引文:Indole-3-acetic-acid-induced phenotypic plasticity in Desmodesmus algae by Chung et al., Scientific Reports, July 2018. |
|
|
| 油酸处理的 HeLa 细胞脂滴染色(货号:22730) |
|
|
| 油酸处理的 HeLa 细胞(右)脂滴染色(货号:22735) |
产品推荐:
| 产品名称 | 货号 | Ex/Em |
| Nile Red *CAS 7385-67-3* | 22190 | 559nm/635nm |
| Cell Navigator Fluorimetric Lipid Droplet Assay Kit | 22730 | 485nm/520nm |
| Cell Navigator Fluorimetric Lipid Droplet Assay Kit | 22735 | 550nm/640nm |
| 脂肪变性比色分析试剂盒(油红O) | 10012643 |
看到这儿,您心动了吗?马上联系小艾吧!
或者扫描下方二维码,即可联系您的专属客服哦~

作为一家具有高端的技术实力、先进的经营管理水平和完善的市场销售体系的生物高科技企业,总部位于武汉光谷高新技术开发区,服务面向全国。艾美捷科技是集进口试剂、实验室耗材销售、技术服务与合约开发为一体的专业化高科技公司,为用户提供专业的前沿资讯、完备的产品、整合的解决方案,及优质的物流服务。为了更好的服务客户,公司组建了一支经验丰富的研发团队-艾美捷生物技术中心,进入研发生产阶段,将更优质的产品推荐给国内生物领域的同仁们!
在线沟通
我的询价








