
试剂
已认证
试剂/ELISA 试剂盒
已认证
试剂/抗体
已认证
试剂
已认证
ELISA 试剂盒/试剂/耗材
已认证
抗体
已认证
试剂
已认证
抗体/蛋白质/抗原/多肽/试剂
已认证
分子生物学
已认证
抗体/试剂
已认证
试剂
已认证
抗体/ELISA 试剂盒/试剂
已认证
试剂
已认证
试剂
已认证
抗体
已认证
抗体/蛋白质/抗原/多肽
已认证
试剂
已认证
试剂
已认证
抗体/试剂
已认证
试剂
已认证
抗体
已认证
抗体/试剂
已认证
抗体/蛋白质/抗原/多肽
已认证
ELISA 试剂盒
已认证
ELISA 试剂盒
已认证
抗体
已认证
试剂
已认证
ELISA 试剂盒/试剂
已认证
抗体/试剂
已认证
抗体
已认证
蛋白质/抗原/多肽/试剂
已认证
试剂
已认证
试剂
已认证
试剂
已认证
化学试剂
已认证
RNAi技术/蛋白质/抗原/多肽/实验室仪器 / 设备/抗体/ELISA 试剂盒
已认证
试剂
已认证
化学试剂
已认证
试剂
已认证
试剂/耗材
已认证
试剂
已认证
试剂
已认证
试剂
已认证
试剂
已认证
试剂/抗体
已认证
技术服务
已认证
技术服务
已认证
试剂
已认证
抗体
已认证
试剂
已认证
抗体/试剂
已认证
实验室仪器 / 设备/抗体/免疫学
已认证
试剂
已认证
试剂
已认证
试剂
已认证
实验室仪器 / 设备/试剂
已认证
试剂
已认证
蛋白质相关
已认证
试剂/技术服务
已认证
试剂
已认证
ELISA 试剂盒
已认证
酶
已认证
试剂
已认证
实验室仪器 / 设备
已认证
抗体/ELISA 试剂盒/试剂/技术服务
已认证
抗体
已认证
试剂
已认证
试剂
已认证
实验室仪器 / 设备/试剂
已认证
抗体/ELISA 试剂盒/试剂
已认证
试剂
已认证
试剂
已认证
试剂
已认证
抗体/试剂
已认证
试剂
已认证
试剂
已认证
试剂
已认证
抗体/试剂
已认证
试剂
已认证
技术服务
已认证
试剂
已认证
试剂
已认证
抗体/ELISA 试剂盒/技术服务
已认证
抗体/试剂/耗材
已认证
细胞库 / 细胞培养
已认证
化学试剂
已认证
细胞库 / 细胞培养
已认证
抗体/分子生物学
已认证
蛋白质/抗原/多肽
已认证
试剂
已认证
试剂
已认证
酶/试剂
已认证
抗体/ELISA 试剂盒
已认证
细胞库 / 细胞培养
已认证
抗体/ELISA 试剂盒
已认证
试剂
已认证
ELISA 试剂盒/试剂
已认证
抗体/ELISA 试剂盒/试剂/细胞库 / 细胞培养
已认证
试剂
已认证
试剂
已认证
试剂
已认证
免疫检测
已认证
试剂
已认证
抗体
已认证
试剂
已认证
试剂/ELISA 试剂盒
已认证
试剂/抗体
已认证
试剂
已认证
ELISA 试剂盒/试剂/耗材
已认证
抗体
已认证
试剂
已认证
抗体/蛋白质/抗原/多肽/试剂
已认证公司新闻/正文
243 人阅读发布时间:2022-10-27 16:08
Nanoprobes 艾美捷:处理HQ银:
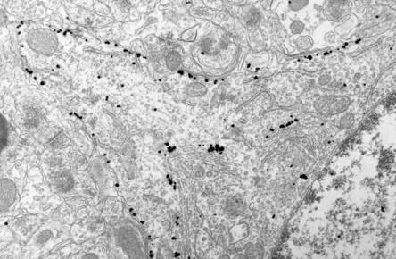
HQ银是一种独特的银增强试剂。它含有一种增稠剂,是一种天然的聚合胶:它被用来调节混合物与金纳米粒子的反应速度。这使该试剂具有一些优势,与其他银增强剂相比,性能得到了提高,如下图所示。

图:使用Nanogold®和HQ Silver预包埋免疫电子显微镜。Nanogold Fab山羊抗兔IgG二级抗体标记大鼠脑中K+通道Kv2.1亚单位,随后HQ银增强。注意免疫染色的高密度和特异性,甚至可以阐明细胞膜细胞质侧和高尔基体外堆的亚单位定位;轴突和终末明显为阴性。J.Du,J.-H.的工作。Tao Cheng,P.Zerfas和C.J.McBain,NIH。见《神经科学》,8437-48(1998)。棒=1微米
这些特点使HQ银成为电子显微镜的理想选择,但由于天然增稠剂的存在,其成分比其他一些银增强试剂更容易受到微生物的污染,而且其粘稠的性质意味着你在使用这种试剂时可能需要更小心。在使用HQ银时,使用这些提示和技巧,将获得J佳效果。
HQ银必须储存在不允许微生物污染和生长的条件下。如果你打算几天内不使用该试剂,应将组分冷冻保存,最好是在-20℃。
反复的冻融循环会使增稠剂的性能下降。因此,第1次使用HQ Silver时,如果将每种成分分成若干等份,每份足以满足典型实验运行,然后将未使用的等份单独冷冻,将在试剂的使用寿命内获得J佳结果。然后,每次进行需要HQ Silver的实验或一系列的实验时,解冻并混合一组等分样品。
因为这些成分包括不同数量的增稠剂,它们具有不同的粘度,如果它们被快速分配,分配出相等的数量可能是一个挑战。使用可调节的移液器来吸取和分配所需的量,每种成分使用不同的吸头,可以获得J佳效果;慢慢地吸取将有助于避免气泡的产生。正排量移液器是J好的。缓慢的手动吸液实际上比自动吸液更好,因为它能使粘稠的溶液得到更准确的分装。B组份("调节剂")实际上不包含银沉积所需的任何成分:因此,如果先分配B组份,然后再分配A和C组份,将确保混合和添加到试样中的延迟时间J短。
Nanoprobes艾美捷所用的溶剂和缓冲液在使用前都经过脱气处理,以消除溶解氧和形成气泡的风险。如果有必要搅拌溶液,请使用设置较低的涡旋器,而不是用手搅拌;如果长时间轻轻搅拌(如用印迹或玻片),请使用设置较低的旋转摇床 - 这些将比手动搅拌引入更少的气泡。
对于光镜和印迹的应用,如果超微结构的保存和均匀的颗粒大小不是问题,应该考虑使用LI银代替。这种试剂的显影速度更慢,而且由于它是无色和非粘性的,可以通过光镜或其他光学检测方法更容易监测显影。另外,在某些应用中,金增强可能会有更好的结果。
Nanoprobes 艾美捷:控制化学计量。纳戈尔德®与生物分子的比例
Nanoprobes Monomaleimido Nanogold、Mono-Sulfo-NHS-Nanogold和Monoamino Nanogold试剂都被配制成每个金粒子含有接近一个反应性功能;这是通过Monoamino Nanogold(其他两种试剂的起始材料)在阴离子离子交换柱上的分离而实现的,它可以分离出具有不同数量氨基的金粒子,在我们的标记实验中,这些试剂以单功能的方式表现。因此,每个纳诺金颗粒将只与一种生物分子反应。
当用纳戈尔德标记时,你通常应该选择标记一个特色的官能团的反应,即在生物大分子中只出现一次的官能团,如半胱氨酸,而不是在几个不同部位出现的官能团。
尺寸对分离很重要。纳米金的分子量接近15,000,但它的行为可能类似于较小的蛋白质,因为它的大部分质量来自重金原子。当你标记一个较大的生物分子(如抗体或蛋白质)时,我们建议使用少量过量的纳戈尔德,因为从色谱上看,从共轭产物中分离过量的小金子通常比分离未标记的蛋白质要容易。然而,由于每个生物分子通常只使用1.5到3个纳诺金,而且反应产率通常低于100%,这对每个蛋白质的纳诺金标签数量提出了一个相对较低的上限。
当标记与纳戈尔德大小相似或更小的分子时,你将使用接近1 : 1的纳戈尔德:生物分子的比例,或者对于较小的分子,使用过量的小分子。由于纳戈尔德是单功能的,这就限制了大多数的标记,即使生物分子有多个结合位点,每个生物分子只有一个纳戈尔德。
纳米金标签相当大:包括其配位配体,它的整体分子直径约为2.6纳米。一旦附着,它就会阻碍其他纳戈尔德试剂接近附近的位置。这也有利于纳诺金与共轭生物分子接近1 : 1的比例。
纳米金不带电,但它是可溶的--它以提供可溶性的方式被功能化,因此它被溶解,而不是仅仅被悬浮。因此,尽管纳米金颗粒之间在溶液中没有正式的排斥力(与胶体金不同),但纳米金颗粒表面对水溶液的亲和力确保它们保持溶解和分离。
这一规则的一个例外是NTA-Ni(II)-Nanogold,它具有多个硝酸三乙酸-镍(II)功能,以便通过多个NTA-Ni(II)获得的螯合效应增加与多组氨酸标签的结合。他的结合。在这种情况下,对化学计量的控制通常是通过使用比His标签的生物分子过量的纳戈尔德来实现的:对于带有独特His标签的生物分子,过量的纳戈尔德有利于形成1:1的共轭物,这是因为His标签的生物分子遇到未结合的纳戈尔德的概率更高,也因为结合的纳戈尔德被结合的分子立体地阻碍了。如果你想使用带正电的纳戈尔德或带负电的纳戈尔德进行标记或共轭,也有类似的考虑。
Nanoprobes特色荧光纳米金探针在一个探针中结合了纳米金(Nanogold)和荧光素,用于荧光和电镜两种技术共同进行样品成像。艾美捷科技是Nanoprobes的中国代理商,为科研工作者提供优质的产品与服务。
在线沟通
我的询价





