
试剂/抗体
已认证
试剂
已认证
ELISA 试剂盒/试剂/耗材
已认证
抗体
已认证
试剂
已认证
抗体/蛋白质/抗原/多肽/试剂
已认证
分子生物学
已认证
抗体/试剂
已认证
试剂
已认证
抗体/ELISA 试剂盒/试剂
已认证
试剂
已认证
试剂
已认证
抗体
已认证
抗体/蛋白质/抗原/多肽
已认证
试剂
已认证
试剂
已认证
抗体/试剂
已认证
试剂
已认证
抗体
已认证
抗体/试剂
已认证
抗体/蛋白质/抗原/多肽
已认证
ELISA 试剂盒
已认证
ELISA 试剂盒
已认证
抗体
已认证
试剂
已认证
ELISA 试剂盒/试剂
已认证
抗体/试剂
已认证
抗体
已认证
蛋白质/抗原/多肽/试剂
已认证
试剂
已认证
试剂
已认证
试剂
已认证
化学试剂
已认证
RNAi技术/蛋白质/抗原/多肽/实验室仪器 / 设备/抗体/ELISA 试剂盒
已认证
试剂
已认证
化学试剂
已认证
试剂
已认证
试剂/耗材
已认证
试剂
已认证
试剂
已认证
试剂
已认证
试剂
已认证
试剂/抗体
已认证
技术服务
已认证
技术服务
已认证
试剂
已认证
抗体
已认证
试剂
已认证
抗体/试剂
已认证
实验室仪器 / 设备/抗体/免疫学
已认证
试剂
已认证
试剂
已认证
试剂
已认证
实验室仪器 / 设备/试剂
已认证
试剂
已认证
蛋白质相关
已认证
试剂/技术服务
已认证
试剂
已认证
ELISA 试剂盒
已认证
酶
已认证
试剂
已认证
实验室仪器 / 设备
已认证
抗体/ELISA 试剂盒/试剂/技术服务
已认证
抗体
已认证
试剂
已认证
实验室仪器 / 设备/试剂
已认证
抗体/ELISA 试剂盒/试剂
已认证
试剂
已认证
试剂
已认证
试剂
已认证
抗体/试剂
已认证
试剂
已认证
试剂
已认证
试剂
已认证
抗体/试剂
已认证
试剂
已认证
技术服务
已认证
试剂
已认证
试剂
已认证
抗体/ELISA 试剂盒/技术服务
已认证
抗体/试剂/耗材
已认证
细胞库 / 细胞培养
已认证
化学试剂
已认证
细胞库 / 细胞培养
已认证
抗体/分子生物学
已认证
蛋白质/抗原/多肽
已认证
试剂
已认证
试剂
已认证
酶/试剂
已认证
抗体/ELISA 试剂盒
已认证
细胞库 / 细胞培养
已认证
抗体/ELISA 试剂盒
已认证
试剂
已认证
抗体/ELISA 试剂盒/试剂/细胞库 / 细胞培养
已认证
试剂
已认证
试剂
已认证
试剂
已认证
免疫检测
已认证
试剂
已认证
抗体
已认证
试剂
已认证
试剂/ELISA 试剂盒
已认证
试剂/抗体
已认证
试剂
已认证
ELISA 试剂盒/试剂/耗材
已认证
抗体
已认证
试剂
已认证
抗体/蛋白质/抗原/多肽/试剂
已认证公司新闻/正文
134 人阅读发布时间:2023-06-06 16:02
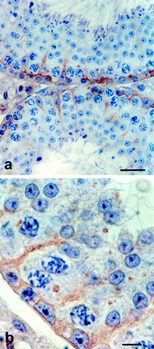
Claudin 11作为Claudin家族的所有成员都参与了紧密的联系。
艾美捷Claudin-11抗体更多信息:
ID Covalab pab0020
产品类型 初级抗体
克隆性 多克隆抗体
兔子 饲养
Claudin-11蛋白C端结构域的免疫原合成肽
活性交叉反应与大鼠和小鼠Claudin-11反应。预计会与人类发生交叉反应
物种 Ms,大鼠
无标签
形成防腐剂
防腐剂 无
储存 说明冷冻粉末在-20°C下至少稳定2年。
将重组抗体储存在+4°C温度下。
在-20°C的温度下长期储存在等分试样中。
抗体自收到之日起保证使用6个月。
目标 Claudin-11
Uniprot标识 Q99P82
基因ID 84588
应用 ELISA、ICC、IHC、WB
工作稀释度 最佳稀释度应由最终用户确定。
以下仅为指南:
IHC(1:20-1:500)
ICC(1:400)
WB(1:1200-1:5000)


Claudin-11抗体相关文献参考:
* Kaitu'u-Lino TJ, et al. Claudin-11 expression and localisation is regulated by androgens in rat Sertoli cells in vitro. Reproduction. 2007 Jun,133(6):1169-79. (ICC, WB)
* Florin A, et al. Androgens and postmeiotic germ cells regulate claudin-11 expression in rat Sertoli cells. Endocrinology. 2005 Mar,146(3):1532-40.(WB)
* Hellani A, et al. Developmental and hormonal regulation of the expression of oligodendrocyte-specific protein/claudin 11 in mouse testis. Endocrinology. 2000 Aug,141(8):3012-9. (IHC-P, WB)
在线沟通
我的询价





