公司新闻/正文
160 人阅读发布时间:2024-05-15 10:42

小G蛋白大促才刚刚结束,作为Cytoskeleton的J牌代理艾美捷又给客户朋友们争取到了一波新鲜的福利,全新的Signal-Seeker产品线,带您轻松搞定各种蛋白翻译后修饰(PTM)。
翻译后修饰(PTMs)之于蛋白质,就像七十二变之于孙悟空。翻译后修饰是对蛋白质的动态、严格调节的改变,它通过调节蛋白质的结构、空间定位和互作、从而控制其功能,PTMs主要包括磷酸化、甲基化、乙酰化(Ac)、 泛素化(Ub)、SUMO1或2/3等方式,但还有许多其它的,PTMs的错误调节与癌症、心力衰竭、神经和代谢性疾病等的进展有关。
Cytoskeleton 本次促销活动产品涵盖赖氨酸乙酰化、磷酸化、泛素化、SUMO化相关抗体、磁珠、试剂盒,蛋白分离及DNA过滤小工具等全套产品线,翻译后修饰相关产品使用方法详情:https://www.amyjet.com/featured/PTM-Signal-Seeker.shtml
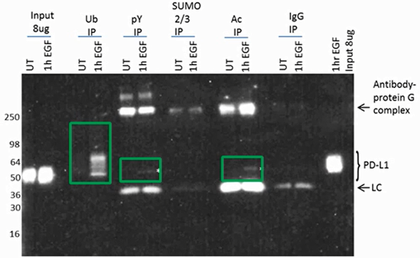
Signal-Seeker kit应用实例:


EGF处理1h后的细胞能明显的检测出PD-L1蛋白同时发生了泛素化(Ub)、酪氨酸磷酸化(pY)、乙酰化(Ac)
促销活动详情:
时间:2024年5月15日-2024年6月30日
对象:仅限中国区终端客户
品目:赖氨酸乙酰化、磷酸化、泛素化、SUMO化相关抗体、磁珠、试剂盒等产品(详情见下方活动品目列表)
内容: 直享 6.5 折超低优惠!
活动品目列表:
| 产品类别 | 货号 | 产品名称 | 规格 | 目录价 | 折后价 |
| 抗体 | CSK-AAC01 | Anti-Acetyl Lysine Mouse Monoclonal Antibody | 2x100ul | 6211.36 | 4037.38 |
| CSK-AAC01-S | Anti-Acetyl Lysine Mouse Monoclonal Antibody | 1x25ul | 1741.65 | 1132.07 | |
| CSK-AAC02 | Anti-Acetyl Lysine Mouse Monoclonal Antibody | 2x100ul | 6211.36 | 4037.38 | |
| CSK-AAC02-S | Anti-Acetyl Lysine Mouse Monoclonal Antibody (Trial size) | 1x25ul | 1741.65 | 1132.07 | |
| CSK-AAC03 | Anti-Acetyl Lysine Mouse Monoclonal Antibody | 2x100ul | 6211.36 | 4037.38 | |
| CSK-AAC03-HRP | Anti-Acetyl Lysine Mouse Monoclonal Antibody HRP Conjugates | 1x100ul | 7120.71 | 4628.46 | |
| CSK-AAC03-HRP-S | Anti-Acetyl Lysine Mouse Monoclonal Antibody HRP Conjugates (Trial size) | 1x25ul | 2342.75 | 1522.78 | |
| CSK-AAC03-S | Anti-Acetyl Lysine Mouse Monoclonal Antibody (Trial size) | 1x25ul | 1741.65 | 1132.07 | |
| CSK-APY03 | Anti-Phosphotyrosine Mouse Monoclonal Antibody | 2x100ul | 6211.36 | 4037.38 | |
| CSK-APY03-HRP | Anti-Phosphotyrosine-HRP Mouse Monoclonal Antibody | 1x100ul | 7120.71 | 4628.46 | |
| CSK-APY03-HRP-S | Anti-Phosphotyrosine-HRP Mouse Monoclonal Antibody (Trial Size) | 1x25ul | 2250.27 | 1462.67 | |
| CSK-APY03-HRP-XL | Anti-Phosphotyrosine-HRP Mouse Monoclonal Antibody | LargeQuantities | 询价 | 询价 | |
| CSK-APY03-S | Anti-Phosphotyrosine Mouse Monoclonal Antibody (Trial Size) | 1x25ul | 1741.65 | 1132.07 | |
| CSK-ASM01 | Anti-SUMO-1 Mouse Monoclonal Antibody | 1x100ul | 6180.53 | 4017.35 | |
| CSK-ASM01-S | Anti-SUMO-1 Mouse Monoclonal Antibody (Trial Size) | 1x25ul | 1726.23 | 1122.05 | |
| CSK-ASM23 | Anti-SUMO-2/3 Mouse Monoclonal Antibody | 2x100ul | 6211.36 | 4037.38 | |
| CSK-ASM23-HRP | Anti-SUMO-2/3 Mouse Monoclonal Antibody | 1x100ul | 6904.93 | 4488.21 | |
| CSK-ASM23-S | Anti-SUMO-2/3 Mouse Monoclonal Antibody (Trial Size) | 1x25ul | 1741.65 | 1132.07 | |
| CSK-ASM24 | Anti-SUMO-2/3 Mouse Monoclonal Antibody | 2x200ul | 6334.66 | 4117.53 | |
| CSK-ASM24-S | Anti-SUMO-2/3 Mouse Monoclonal Antibody (Trial Size) | 1x150ul | 2250.27 | 1462.67 | |
| CSK-AUB01 | Anti-Ubiquitin Mouse Monoclonal Antibody | 2x100ul | 6211.36 | 4037.38 | |
| CSK-AUB01-HRP | Anti-Ubiquitin-HRP Antibody | 1x100ul | 7120.71 | 4628.46 | |
| CSK-AUB01-HRP-S | Anti-Ubiquitin-HRP Antibody | 1x25ul | 2250.27 | 1462.67 | |
| CSK-AUB01-S | Anti-Ubiquitin Mouse Monoclonal Antibody (Trial size) | 1x25ul | 1710.82 | 1112.03 | |
| CSK-AUB01-XL | Anti-Ubiquitin Mouse Monoclonal Antibody | 4x500ul | 13501.61 | 8776.05 | |
| 试剂盒 | CSK-BK160 | Signal-Seeker? Phosphotyrosine Enrichment Kit (30 assays) | KIT30assays | 12083.64 | 7854.36 |
| CSK-BK160-S | Signal-Seeker? Phosphotyrosine Enrichment Kit (10 assays) | KIT10assays | 6118.88 | 3977.27 | |
| CSK-BK161 | Signal-Seeker? Ubiquitin Enrichment Kit (30 assays) | KIT30assays | 12083.64 | 7854.36 | |
| CSK-BK161-S | Signal-Seeker? Ubiquitin Enrichment Kit (10 assays) | KIT10assays | 6118.88 | 3977.27 | |
| CSK-BK162 | Signal-Seeker? SUMOylation Enrichment Kit (30 assays) | KIT30assays | 12083.64 | 7854.36 | |
| CSK-BK162-S | Signal-Seeker? SUMOylation Enrichment Kit (10 assays) | KIT10assays | 6118.88 | 3977.27 | |
| CSK-BK163 (30 assays) | Signal-Seeker? Acetyl-Lysine Detection Kit - AAC04-Beads (30 assays) | KIT30assays | 11513.36 | 7483.69 | |
| CSK-BK163-S (15 assays) | Signal-Seeker? Acetyl-Lysine Detection Kit - AAC04-Beads (15 assays) | KIT15assays | 6118.88 | 3977.27 | |
| CSK-BK164 (30 assays) | Signal-Seeker? Acetyl-Lysine Detection Kit AAC03-Beads (30 assays) | KIT30assays | 11513.36 | 7483.69 | |
| CSK-BK165 | Signal-Seeker? SUMOylation-1 Enrichment Kit (30 assays) | KIT30assays | 12083.64 | 7854.36 | |
| CSK-BK165-S | Signal-Seeker? SUMOylation-1 Enrichment Kit (10 assays) | KIT10assays | 6118.88 | 3977.27 | |
| CSK-BLR01 | BlastR Rapid Lysate Prep Kit | 50purifications | 3452.47 | 2244.10 | |
| CSK-BLR02 | BlastR Rapid Filtration Kit | 50purifications | 2296.51 | 1492.73 | |
| CSK-BLR03 | BlastR Lysis/Dilution Kit | 50lyses | 2296.51 | 1492.73 | |
| 磁珠 | CSK-CIG01-beads | Control for Immunoprecipitation IgG beads | 10assays | 1710.82 | 1112.03 |
| CSK-CIG02-beads | Control for Acetylation Immunoprecipitation IgG beads | 10assays | 1710.82 | 1112.03 | |
| CSK-CIG03-beads | Control for SUM01 Immunoprecipitation IgG beads | 10assays | 1710.82 | 1112.03 | |
| CSK-CUB02-beads | Control for Ubiquitin Affinity Beads | 10assays | 9617.59 | 6251.43 | |
| CSK-AAC02-Beads | Acetyl-Lysine Affinity Beads-AAC02 | 4x500ul | 9617.59 | 6251.43 | |
| CSK-AAC03-Beads | Acetyl-Lysine Affinity Beads-AAC03 | 4x500ul | 9617.59 | 6251.43 | |
| CSK-AAC04-Beads | Anti-Acetyl Lysine Mouse Monoclonal Antibody Agarose Conjugates | 4x500ul | 9617.59 | 6251.43 | |
| CSK-APY03-Beads | Anti-Phosphotyrosine Affinity Beads | 4x300ul | 9617.59 | 6251.43 | |
| CSK-ASM11-Beads | SUMOylation-1 Affinity Beads | 3x400ul | 9617.59 | 6251.43 | |
| CSK-ASM24-Beads | SUMO-2/3 Affinity Beads | 2x400ul | 9617.59 | 6251.43 | |
| CSK-UBA01-beads | Ubiquitin Affinity Beads | 40rxs | 询价 | 询价 | |
| 蛋白 | CSK-MB201 | 6xHis MsrB2 Protein aa: 42-182 | 2x50ug | 5039.99 | 3275.99 |
| CSK-MB201-XL | 6xHis MsrB2 Protein aa: 42-182 | 1x1mg | 22086.54 | 14356.25 | |
| CSK-MIC01 | 6xHis MICAL-1 Protein Redox-CH domains | 2x50ug | 5748.97 | 3736.83 | |
| CSK-MIC01-XL | 6xHis MICAL-1 Protein Redox-CH domains | 1x1mg | 22086.54 | 14356.25 | |
| CSK-MXA95 | Actin Protein (MICAL-Oxidized): Rabbit Skeletal Muscle (Rabbit Muscle, > 95% Pure ) | 2x250ug | 5379.07 | 3496.39 | |
| CSK-MXA95-XL | Actin Protein (MICAL-Oxidized): Rabbit Skeletal Muscle (Rabbit Muscle, > 95% Pure ) | 1x1mg | 8754.47 | 5690.41 | |
| CSK-MPAX1 | Pyrene Labeled Actin Protein (MICAL-Oxidized): Rabbit Skeletal Muscle (Rabbit Muscle, > 95% Pure ) | 2x250ug | 6257.60 | 4067.44 | |
| CSK-MPAX1-XL | Pyrene Labeled Actin Protein (MICAL-Oxidized): Rabbit Skeletal Muscle (Rabbit Muscle, > 95% Pure ) | 1x1mg | 10064.56 | 6541.96 | |
| CSK-AACX1 | Chemically Acetylated Bovine Serum Albumin (BSA) | 2x500ug | 847.70 | 551.01 |
以上产品仅限研究用,不得由于诊断~
* 本活动最终解释权归艾美捷科技所有
Cytoskeleton公司成立于1993年,专注于生物化学和细胞过程研究中的纯化蛋白和便捷试剂盒开发与生产。公司提供药物筛选、信号转导、蛋白质转录后修饰(PTM)、细胞骨架研究相关的系列试剂盒和产品,尤其以细胞骨架相关研究见长,既能满足于样品较少的科学研究,也可以用于小规模筛选研究和高通量大规模筛选研究。
艾美捷科技与国内外优秀的生物试剂供应商优保持着密切的合作关系,目前已成为众多国际知名品牌的中国总代理或一级代理,主要包括:AAT Bioquest、Abbexa、Abnova、Agrisera、Atlas Antibodies、BellBrook、Biomatik、Biosensis、BioVendor、CalBioreagents、Cayman Chem、Cell Biolabs、Columbia Biosciences、Crystal Chem、Cytoskeleton、DIAsource、Duchefa、Ebba Biotech、Echelon Biosciences、ECM Biosciences、Enzo Life Sciences、Epigentek、Equitech-Bio、FabGennix、GeneCopoeia、Hycult Biotech、ichorbio、Icosagen、Immundiagnostik、ImmunoReagents、IQ Products、Jackson、LC Labs、LifeSensors、Lumiprobe、Mabtech、Matreya、Medkoo Biosciences、MyBioSource、Nanoprobe、Norgen Biotek、ProSci、ProSpec、ReliaTech、Rockland、SouthernBiotech、StressMarq、SySy、TRC、US Biological 等,可以在短时间内为用户提供专业的前沿资讯、完备的产品及物流服务。